Corrientes, miercoles 11 de marzo de 2026

Sociedad Corrientes
SALUD PUBLICA

Refuerzan vigilancia por caso de Sarampión en Buenos Aires

16-02-2026
COMPARTIR     
La cartera sanitaria pidió completar los esquemas de vacunación. Si viaja a países donde se notificó la enfermedad, al regresar de debe estar atentos a la presencia de síntomas.

Ante la confirmación de un caso de Sarampión en un ciudadano argentino residente en la Ciudad Autónoma de Buenos Aires y con antecedentes de viaje, el Ministerio de Salud Pública, a cargo de Emilio Lanari Zubiaur, fortalece la vigilancia epidemiológica y solicita completar el carnet de vacunación. Las personas que viajan a lugares donde hay casos deben controlar tener completos los esquemas de vacunación; en caso de regresar con síntomas, consultar al médico.

La Red de Vigilancia Epidemiológica Intensificada y de la Red de Laboratorio, permanece atenta para realizar un diagnóstico temprano y acciones de control y prevención en todos los niveles de atención de la provincia." Los profesionales están atentos al diagnóstico de enfermedades exantemáticas; es decir que, ante síntomas compatibles con Sarampión, se considera esta enfermedad y se realizan los estudios correspondientes"se informó .

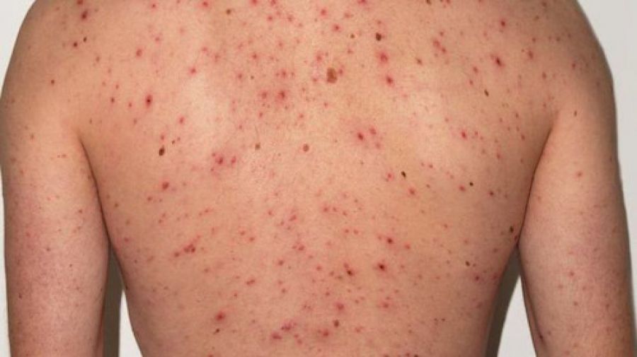
El Sarampión es una enfermedad vírica sumamente contagiosa. Se propaga fácilmente cuando una persona infectada respira, tose o estornuda. Puede provocar una enfermedad grave, complicaciones o la muerte. Además, puede afectar a cualquier persona, pero es más común entre los niños.

Antes de propagarse por todo el cuerpo, el virus infecta las vías respiratorias. Entre los síntomas se incluyen fiebre alta, tos, rinorrea y una erupción cutánea que se extiende por todo el cuerpo. Ante la presencia de fiebre y erupción cutánea, se recomienda consultar a profesionales de la salud. No concurrir a lugares públicos hasta contar con autorización médica.



Se recomienda:

Vacunación prioritaria (esquemas completos): Se pide a la población, en especial a niños, niñas y personal de salud, acreditar el esquema completo de Doble o Triple Viral (SRP), según el Calendario Nacional de Inmunización. Los niños de 6 a 11 meses no deberían viajar y, si lo hacen, deben realizar antes una consulta médica.

Cautela en destinos de riesgo: Se recomienda reconsiderar o posponer viajes a zonas con brotes activos, especialmente para aquellas personas no vacunadas, embarazadas o inmunocomprometidas, priorizando la salud colectiva.

Las dosis están disponibles en los vacunatorios de toda la provincia. Deben concurrir con DNI y carnet de vacunación.

Los recién nacidos deben recibir la dosis de Hepatitis B (antes de las 12 horas de vida) y BCG (antes de los 7 días de vida).

Durante el primer año de vida deben recibir: Rotavirus (2 y 4 meses); Quíntuple (2, 4 y 6 meses); IPV (2, 4 y 6 meses); Neumococo conjugada (2, 4 y 12 meses); Meningococo (3 y 5 meses); Antigripal (a partir de los 6 meses); Triple Viral (12 meses) y Hepatitis A (12 meses).

Hasta los 2 años de edad, los niños deben recibir: Meningococo (1 refuerzo a los 15 meses); Varicela (1 dosis a los 15 meses); Antigripal (24 meses); Quíntuple (1º refuerzo entre los 15 y 18 meses) y Fiebre Amarilla (1 dosis a los 12 meses).

Las vacunas que deben colocarse a los 5 años son: IPV (1º refuerzo);; 2° dosis de Varicela y refuerzo de Triple Bacteriana Celular.

La segunda dosis de la vacuna Triple Viral (que previene Sarampión, Rubéola y Paperas), a partir de 2026, se aplica a los 18 meses.