Corrientes, jueves 02 de abril de 2026

Sociedad Mundo

Adicto muere poco después de ingresar a urgencias con el paladar destruido por consumir cocaína

10-09-2019
COMPARTIR     
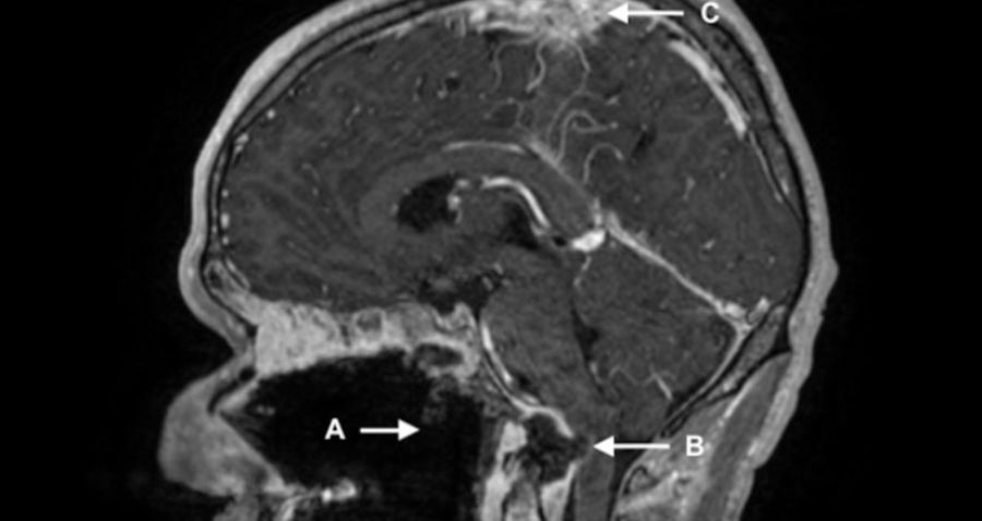
Un hombre de 38 años fue llevado a emergencias por una presunta sobredosis de cocaína y a pesar de los esfuerzos de los médicos falleció horas más tarde. El paciente, según una publicación en BMJ Case Reports, tenía un historial conocido de consumo de cocaína. Esta adicción le habría causado un enorme agujero en la parte posterior de la garganta.

En la primera visita a la sala de emergencias del Hospital Mater Dei en Msida, en Malta, el paciente fue atendido por molestias en su visión, por presentar párpados caídos y enrojecimiento e hinchazón en los ojos, y al ser examinado por los doctores se descubrió que tenía una erosión en el paladar.

Luego, una tomografía computarizada reveló que el uso frecuente de drogas había destruido por completo su paladar y presentaba una infección bacteriana en los ojos. Luego de siete días de medicación y tratamientos con dos diferentes antibióticos el hombre, cuya identidad no ha sido revelada, fue dado de alta y puesto en contacto con grupos de apoyo para consumidores de drogas.

A pesar de esto, el hombre volvió a emergencias cuatro meses más tarde con una sospecha de sobredosis de estupefacientes. Presentaba una condición potencialmente mortal dado que padecía una lesión cerebral y severos daños en la médula espinal. Exámenes médicos revelaron además presencia de líquido e hinchazón de tejidos blandos en el área donde se conectan el cráneo y la columna. El paciente fue tratado nuevamente con antibióticos; sin embargo, falleció poco después.

Este caso debe servir como ejemplo a los especialistas para "investigar a fondo" a aquellos pacientes con un historial de consumo de drogas, con el ánimo de excluir o detectar otras causas del deterior de su condición general, resalta la publicación. "Los usuarios de cocaína intranasal que se presenten sin una fuente obvia de infección deben someterse a un examen exhaustivo de su paladar y obtener imágenes de la cabeza según sea necesario", concluyen los autores.